
Domina la cobertura radicular con el protocolo V.I.S.T.A. y garantiza un postoperatorio con 0 dolor para tus pacientes
1· CREACION DEL TUNEL ( ZONA DE INCISION V.I.S.T.A.)
2· COMO OBTENER TEJIDO CONECTIVO DE FORMA RAPIDA Y MINIMA MORBILIDAD
3· PREPARACION DEL INJERTO
4· TECNICAS DE SUTURA AVANZADAS PARA ASEGURAR LA ESTABILIDAD DEL INJERTO DESDE EL MINUTO UNO

VIERNES 30 DE ENERO 2026
Estancia con foco en manejo de tejidos blandos:
Cobertura radicular mediante Tunel + V.I.S.T.A.
PLAZAS LIMITADAS!
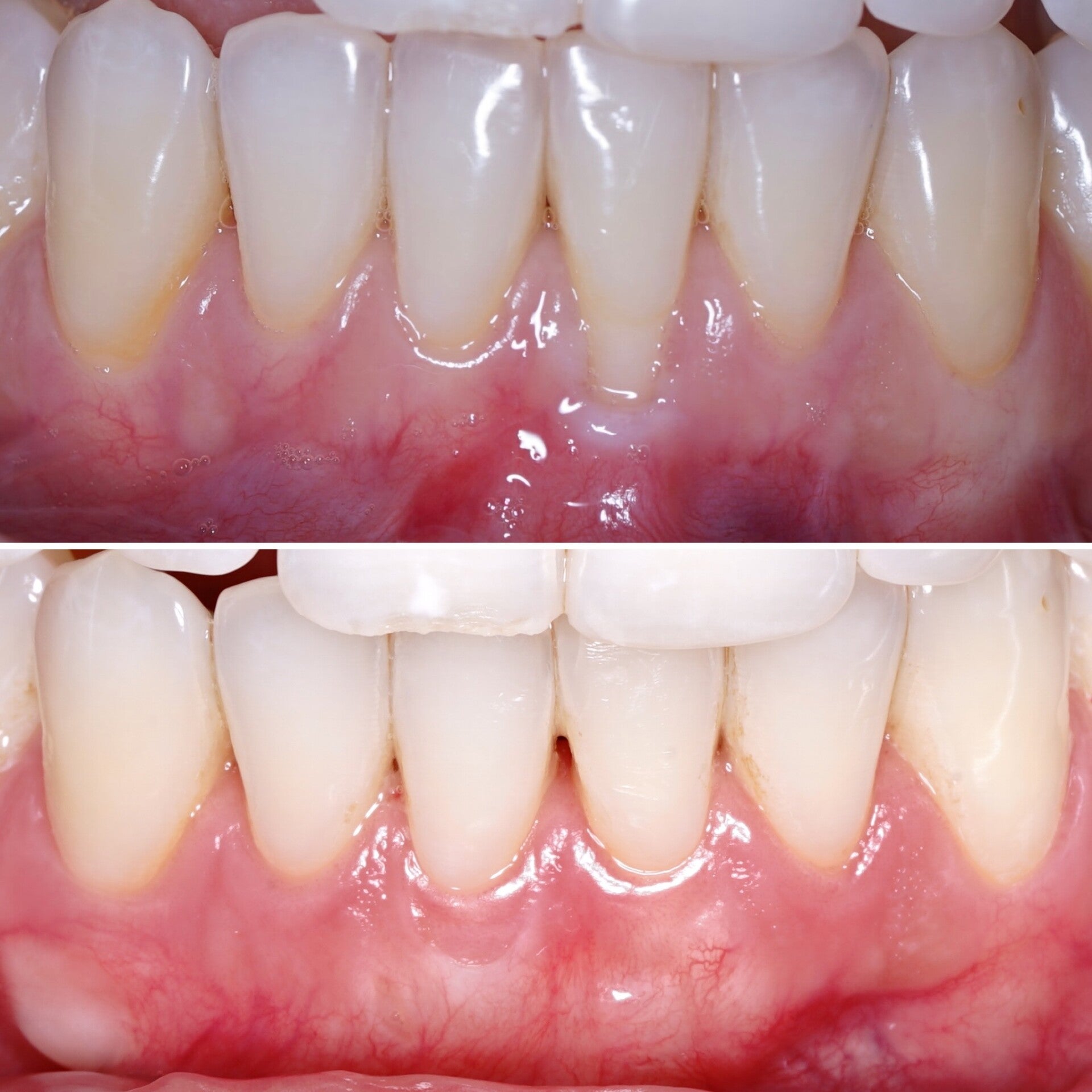
Casos Clínicos: TUNEL + V.I.S.T.A.
Entender la Tecnica Tunel + VISTA en un libro es fácil. Ejecutarla con confianza el lunes siguiente en tu gabinete era lo difícil (hasta la creación de mi estancia clinica)
Por eso, he diseñado esta ESTANCIA CLINICA INTENSIVA en Oviedo centrada en la enseñanza real de los conocimientos y tips necesarios para conseguirlo.
No es un congreso masivo, es un ambiente intimo donde veras cirugías en directo y podrás comentar de manera directa tus dudas para resolverlas de manera inmediata
Desglosaremos el paso a paso de la técnica y las posibles complicaciones tanto intraoperatorias (ej. sangrado de arterial al cosechar el injerto) como posibles complicaciones postoperatorias.
Pero la tecnica quirúrgica es solo la mitad del éxito. En la practica moderna, la experiencia del paciente es el motor de los referidos.
He perfeccionado un protocolo postoperatorio que combina farmacología especifica, manejo Atraumático y cuidados post-intervencion que logra algo que parecía imposible en cirugia de tejidos blandos: QUE EL PACIENTE NO SIENTA DOLOR.
Un paciente sin dolor es un paciente que recomienda tu clinica a todo su entorno
1. Predictibilidad Estética Total en el Sector Anterior
Elimina la incertidumbre en las recesiones múltiples. Gracias al acceso V.I.S.T.A., mantendrás la integridad de las papilas y evitarás las incisiones verticales, logrando una integración del tejido tan natural que tus pacientes no podrán distinguir dónde estaba la recesión.
2. Blindaje ante Urgencias: Protocolo "Postoperatorio 0 Dolor"
Diferencia tu práctica ofreciendo una experiencia quirúrgica atraumática. Implementarás un protocolo farmacológico y de manejo de tejidos diseñado para que el paciente no sufra inflamación ni dolor, eliminando las visitas inesperadas y convirtiendo a tus pacientes en tu mejor motor de recomendación.
3. Transferencia Clínica Inmediata (Del Curso al Gabinete)
No pierdas tiempo con teorías abstractas. Esta estancia es 100% práctica y en grupos reducidos, diseñada para que el lunes siguiente en tu clínica seas capaz de ejecutar la técnica de túnel y sutura adecuada con la seguridad de quien la ha realizado cientos de veces.
TESTIMONIO
"Me llevo un sinnúmero de experiencias que seguro van a sumar a mi carrera profesional. Recomiendo al Dr. Pablo García, es un excelente coach." — Dr. Jason Terry, Especialista en Implantología Oral
Contáctanos
Ubicación
Centro Estomatológico González Tuñón
Cardenal Cienfuegos 8, bajo
33007 Oviedo Asturias

Crea tu propia página web con Webador