Autotrasplante Dental en Oviedo | Dr. Pablo García | Cirugía Avanzada

Publicado el 21 de enero de 2026, 12:37

"El autotrasplante dental es una de las técnicas más sofisticadas de la odontología moderna. En nuestra clínica de Oviedo (Asturias), el Dr. Pablo García utiliza protocolos de planificación digital para trasladar un cordal (muela del juicio) a un espacio donde se ha perdido una pieza importante. Esta técnica no solo ofrece un resultado estético, sino que conserva la biología original de tu boca, siendo una opción preferente en el Centro Estomatológico González Tuñón para quienes buscan excelencia y naturalidad."

Autotrasplante dental en Oviedo: La alternativa natural a los implantes

¿Te han dicho que la única solución para recuperar un diente perdido es un implante de titanio? Aunque los implantes son una excelente opción, en el Centro Estomatológico González Tuñón, bajo la dirección del Dr. Pablo García, apostamos por la odontología biológica siempre que es posible. Gracias al autotrasplante dental, podemos utilizar tus propios dientes para restaurar tu salud bucal.

¿Qué es el autotrasplante dental?

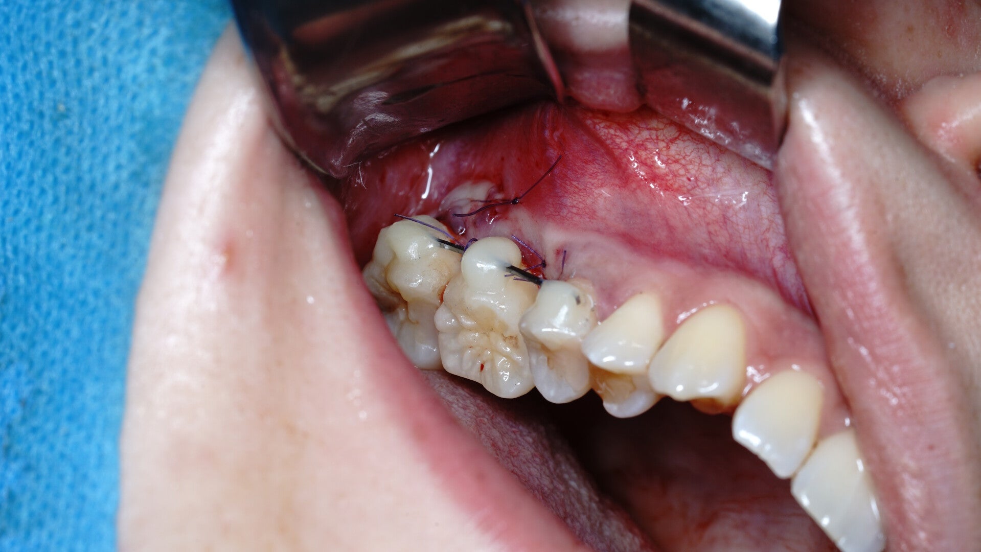
El autotrasplante dental es un procedimiento quirúrgico de alta precisión que consiste en trasladar un diente de una posición a otra dentro de la boca del mismo paciente. Generalmente, utilizamos un diente que no cumple una función vital (como una muela del juicio) para sustituir una pieza perdida o gravemente dañada (como un primer molar).

Esta técnica, realizada por el Dr. Pablo García en Oviedo, combina la cirugía maxilofacial de vanguardia con el respeto máximo por la biología del paciente.

Ventajas: ¿Por qué elegir tu propio diente antes que un implante?

Muchos pacientes de toda Asturias y España acuden a nuestra clínica buscando soluciones más naturales. El autotrasplante ofrece beneficios que el titanio no puede igualar:

  • Sensibilidad Natural: Al conservar el ligamento periodontal, el diente trasplantado mantiene la sensibilidad a la presión y al tacto, comportándose como una pieza original.

  • Adaptación Ósea: A diferencia de los implantes, el diente trasplantado estimula el mantenimiento y crecimiento del hueso alveolar circundante.

  • Ideal para Jóvenes: En pacientes en edad de crecimiento donde los implantes están contraindicados, el autotrasplante es la solución de elección.

  • Biocompatibilidad Total: No existe riesgo de rechazo, ya que utilizamos material biológico del propio paciente.

Tecnología 3D: Precisión quirúrgica en el Centro Estomatológico González Tuñón

El éxito de un autotrasplante depende del tiempo que el diente permanece fuera de su alveolo. Por ello, en nuestra clínica en Oviedo, utilizamos planificación digital 3D y tomografía computarizada (TAC).

  1. Escaneamos tu boca para crear una réplica exacta en 3D del diente que vamos a trasplantar.

  2. Preparamos el espacio receptor utilizando la réplica, asegurando un ajuste perfecto.

  3. Solo cuando el lecho está listo, extraemos el diente real y lo colocamos en su nueva posición en cuestión de segundos.

Esta tecnología de mínima invasión aumenta drásticamente las tasas de éxito, posicionándonos como un centro de referencia en cirugía oral en España.

¿Eres candidato para un autotrasplante dental?

No todos los casos son aptos para esta técnica. Se requiere un diente donante con una forma adecuada y un espacio receptor sano. El Dr. Pablo García realizará un estudio exhaustivo de tu caso para determinar si esta es la mejor opción para ti.

Si buscas un especialista en implantes dentales en Asturias pero prefieres explorar una alternativa biológica y definitiva, el autotrasplante puede ser tu mejor decisión.


Recupera tu sonrisa con tus propios dientes

Si te falta una pieza dental y quieres saber si eres candidato al autotrasplante, solicita una consulta con el Dr. Pablo García en el Centro Estomatológico González Tuñón (Oviedo). Somos expertos en casos complejos y cirugía reconstructiva.

 

"No des por perdida tu dentición natural. Consulta al Dr. Pablo García si eres candidato para un autotrasplante dental en Oviedo."

Añadir comentario

Comentarios

Todavía no hay comentarios

Crea tu propia página web con Webador