Carga Inmediata: La ciencia detrás de los Dientes en el Día
Recuperar la sonrisa en una sola jornada no es una promesa publicitaria, es el resultado de la evolución de la implantología moderna. Lo que hoy conocemos popularmente como "Dientes en el día" es, técnicamente, un protocolo de Carga Inmediata.
Pero, ¿qué hay realmente detrás de este procedimiento? Como especialista en cirugía oral, en este artículo quiero desgranar la base científica y técnica que permite a nuestros pacientes de la Centro Estomatológico González Tuñón salir de la consulta con una función estética y masticatoria renovada en cuestión de horas.

¿Qué es exactamente la Carga Inmediata?
Tradicionalmente, la implantología requería esperar entre tres y seis meses para que el implante se integrara en el hueso (osteointegración) antes de colocar la corona definitiva.
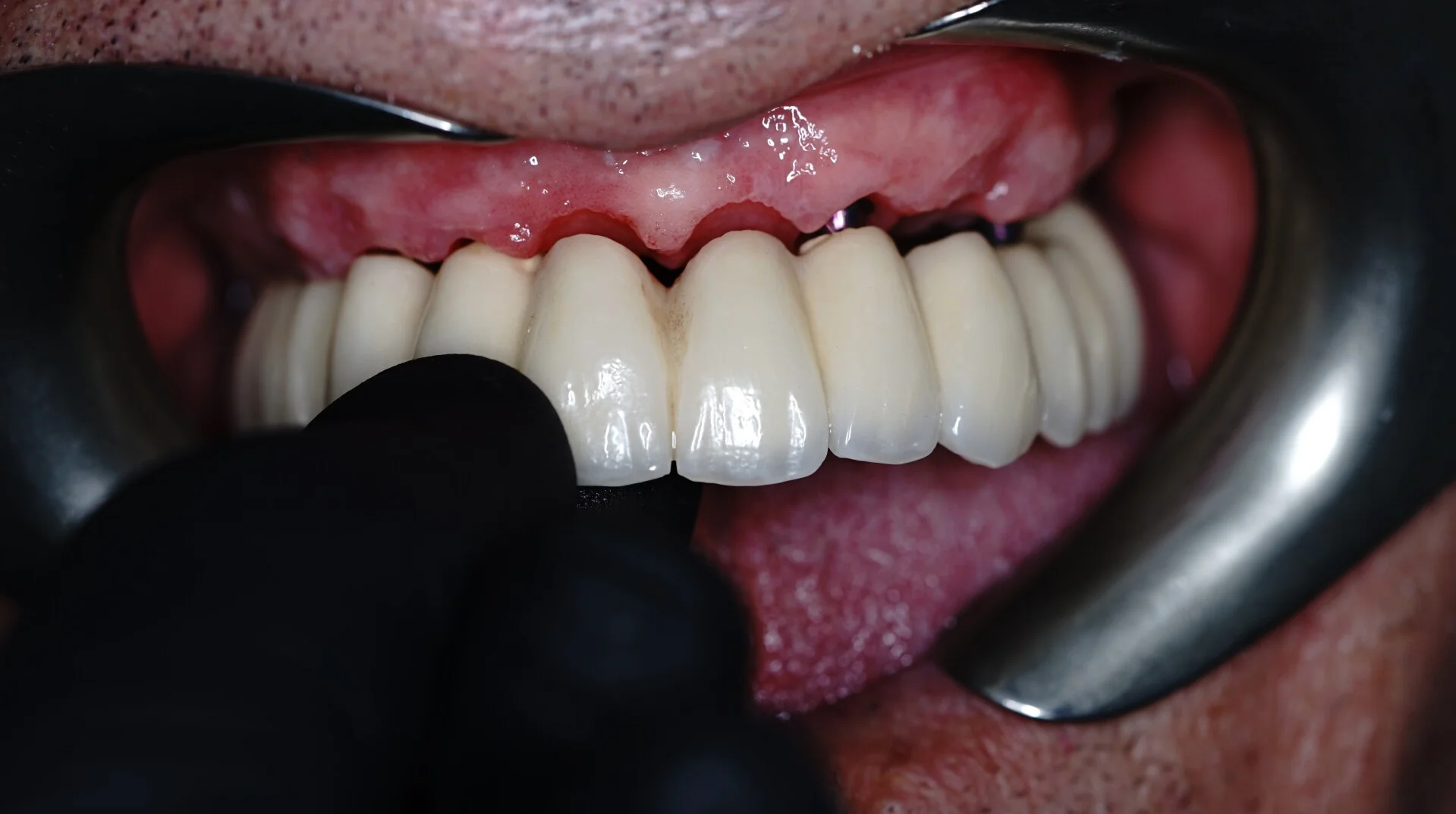
La Carga Inmediata rompe este paradigma permitiendo colocar una prótesis provisional fija sobre los implantes en un plazo máximo de 24 a 48 horas tras la intervención. La clave no es la rapidez, sino la estabilidad primaria.
Los 3 pilares del éxito
Para que un paciente sea candidato a este tratamiento bajo mi supervisión, hay 3 pilares imprescindibles:
-
Estabilidad Primaria: El implante debe quedar anclado con un torque (fuerza) específico. Si el agarre mecánico es firme desde el primer segundo, el hueso puede cicatrizar de forma segura mientras el implante ya sostiene la prótesis.
-
Planificación Digital 3D: Utilizamos tecnología de escaneado intraoral y TAC para planificar la cirugía en un entorno virtual. Esto nos permite conocer la densidad ósea exacta y la posición ideal de cada implante antes de empezar.
-
Biocompatibilidad de Materiales: La utilización de materiales de última generación favorece que los tejidos blandos (encía) se adapten rápidamente, reduciendo la inflamación y acelerando la recuperación.

Ventajas: Más allá de la estética
Aunque el impacto visual de estrenar sonrisa en un día es innegable, los beneficios clínicos son profundos:
-
Preservación del tejido gingival: Al colocar la prótesis de inmediato, damos soporte a la encía, manteniendo la arquitectura natural de la encia.
-
Confort psicológico: El paciente elimina la ansiedad de verse sin dientes durante meses, lo que mejora su calidad de vida desde el minuto uno.
-
Menor número de intervenciones: Simplificamos el proceso quirúrgico, lo que suele traducirse en un postoperatorio más liviano.
¿Es apto para todos los pacientes?
Esta es la pregunta más frecuente en mi consulta de Oviedo. Aunque la ciencia ha avanzado mucho, la carga inmediata requiere una evaluación exhaustiva. En casos de pérdida ósea severa, realizamos previamente técnicas de regeneración ósea para garantizar que los implantes tengan una base sólida. Y aun en esos casos brindamos a los pacientes opciones para que no se vean en ningún momento sin dientes.
En la Clínica González Tuñón, mi prioridad absoluta es la salud a largo plazo. La carga inmediata es una herramienta extraordinaria, pero siempre debe aplicarse bajo un diagnóstico de precisión.
Añadir comentario
Comentarios